医療法人豊田会 刈谷豊田総合病院

電話・メールでのお問い合わせ

コース案内・料金表

健康診断コース

メニュー 定期健康診断A
労働安全衛生規則に準ずる
健康診断C 健康診断E
内科診察
身長/体重/血圧
血液検査
尿検査
心電図
胸部X線撮影
視力検査
聴力検査
コース料金(税込) 9,900円 12,430円 15,620円

各種健康診断コースの検査項目一覧はこちら   
雇用時の健康診断をご希望の方は、検査項目一覧をご確認いただき、上記コースより選択してください。

人間ドックコース

コース料金に+2,200円(税込)にて上部消化管X線検査を上部消化管内視鏡検査に変更していただけます。
メニュー 人間ドック
ドックB
人間ドック
ドックD
1泊2日
入院ドック
内科診察
身長/体重/血圧
便潜血反応検査
血液検査
尿検査
心電図
肺機能検査
腹部超音波検査
胸部X線撮影
上部消化管X線撮影
視力検査
眼底カメラ/眼圧
聴力検査
動脈硬化検査
コース料金(税込) 25,300円 36,300円 68,200円

各種人間ドックコースの検査項目一覧はこちら

注意事項

女性の方へ
    ○生理中の場合
  • 子宮がん検診、尿検査、便検査に血液が混じることがあります。
  • 血液検査のCA125が高値を示すことがあります。
  • 検査時(マンモグラフィ・乳腺超音波検査)に痛みが強い場合があります。
  • ○妊娠中またはその可能性がある場合
  • 放射線検査を受診することができません。
  • 子宮頸がん検診につきましても避けていただき、主治医において受診していただくことをおすすめします。
  • ○授乳中の場合
  • 乳腺の状態により正しい検査が行えない場合がございますので、乳がん検診は授乳期間が過ぎてからの受診をおすすめします。

PET-CTがん検診コース

メニュー PETがん検診タイプI PETがん検診タイプII 総合PETがん検診
男性
1日
女性
2日間(宿泊無)
男性
2日間(宿泊無)
女性
2日間(宿泊無)
男性
1泊2日
女性
1泊2日
PET-CT検査
喀痰細胞診検査    
CT検査(胸部・腹部)    
MRI検査(下腹部)        
血液検査(腫瘍マーカー)
子宮がん検診
(内診・頸部細胞診・経腟超音波)
     
乳がん検診
(マンモグラフィ・超音波)
     
脳ドック
(頭部MRI・脳MRA・頸部MRA)
       
半日ドックDコース    
宿泊・食事料        
コース料金(税込) 113,850円 124,300円 163,350円 173,800円 243,650円 254,100円

PET検査とは

「PET」とは、「Positron Emission Tomography」の頭文字を取って「ペット」と発音され、日本語では「陽電子放出断層撮影法」と訳されます。アイソトープ検査の一つで、陽電子を放出する薬剤を体内に注射して検査を行います。
機器紹介はこちら
※当センターでのPET検査はアミロイドPET検査(アルツハイマー型認知症リスク検査)ではありません。                   

PET検査の特徴

  • 比較的小さながんの発見に優れているためがんの早期発見に有用である。
  • 一度に全身の検査が可能である。
  • 注射を打ってベッドに寝ているだけの簡単な検査。

PET-CT検査の有効性

Q&A

PET-CT検査用薬剤は安全ですか?
PET-CTで使用される薬剤(FDG)はブドウ糖の一種であり、副作用の報告はありません。また、「FDG」の放射線が半分になる時間(半減期)は非常に短く、薬剤の大部分は尿から排泄されます。翌日にはほとんど体内に残りませんのでご安心ください。
PET-CT検査のみを受けていれば安心ですか?
「FDG」を用いたPET-CT検査では、ブドウ糖が細胞に取り込まれる過程である「糖代謝」を画像にしているため、「糖代謝」のあまり盛んでないがんなど、種類によってはあまり得意としないがんもあります。また、腎臓や膀胱といった正常でも薬剤が集まってしまう部位(生理的集積部位)の診断には向いていません。そのため、他の検査と組み合わせることによって、存在部位や範囲、重症度がより明確に分かるようになることがあります。以上の点から、PET-CT検査だけでなく他の最適な検査法を併用して最良の診断を受けることをおすすめします。
被ばくは大丈夫?
PET-CT検査の1回あたりの被ばくは、胃透視検査(8~10mSv)を1回受ける被ばくよりも少ないといわれており、健康上の問題はありません。

脳ドックコース

メニュー タイプI
(脳および脳血管コース)
タイプII
(脳および脳・頸部血管コース)
身長/体重/血圧
神経学的検査
血液検査
尿検査
MRI(脳断層撮影)
MRA(脳血管撮影)
MRA(頸部血管撮影)  
コース料金(税込) 38,500円 49,500円
人間ドックに追加して
実施した時の料金(税込)
33,000円 44,000円

※注意:磁場内の検査ですので体内に金属の入っている方(例えば現在歯を矯正中の方、心臓ペースメーカーを埋設されている方、脳の手術をされ金属の入っている方など)や閉所恐怖症の方は、検査が行えないことがあります。
※その他検査室に持ち込めないもの
カラーコンタクトレンズ、金属のあるカツラ・ウィッグ、金属成分を含む化粧(マスカラ・アイシャドーなど)、ニトロダーム、ニコチネルなど

こんな方におすすめします

  • 高血圧や糖尿病、脂質異常症(高脂血症)、メタボリック症候群などを指摘されている方
  • 喫煙歴のある方
  • ご家族・ご親戚の中で脳卒中になった方がいる方
  • 脳疾患が気になる方

脳ドックで何がわかるの?

脳腫瘍、脳梗塞、脳動脈瘤、脳微小出血、頸動脈狭窄・閉塞など

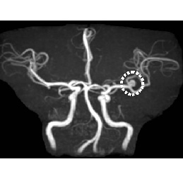
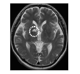
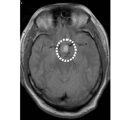
当センターの脳ドックで発見された脳および脳血管障害


  • MRI画像
    脳腫瘍

  • MRI画像
    微小脳梗塞

  • MRI画像
    脳梗塞

  • MRA画像
    左内頸動脈狭窄

  • MRA画像
    脳動脈瘤

脳および脳血管障害の知識

脳および脳血管疾患の主な症状は、以下の通りです。

頭痛/言語障害/めまい/足がもつれる/耳鳴り/手足のしびれ/物が二重に見える/
物忘れがひどい/失神したことがある

ただし、無症状のこともあります。

脳血管障害のリスク要因として

脳および脳血管障害の危険因子は多数存在します。この因子の中には年齢・性別・人種・遺伝的要因など避けようのないものもありますが、一方では、日ごろの生活習慣により起こる高血圧症、高脂血症、糖尿病などの「生活習慣病」や喫煙などが挙げられます。日本では、食生活の欧米化とともに罹患率が上昇しています。

検診間隔の目安

2年に1回の検診をおすすめします。

認知機能検査

認知機能とは

ものごとを正しく理解して適切に実行するための機能のことです。その中に記憶力、言語能力、判断力、計算力などがあります。一般的に50歳頃から認知機能は低下するといわれていて、認知機能が一定以上に低下すると日常生活に影響をおよぼします。

認知機能検査

当院は株式会社ミレニアが提供する「あたまの健康チェック」で軽度認知障害(MCI)を評価します。認知機能低下を早期に発見し、生活習慣の改善や予防を行うことで、認知機能低下を遅らせることが可能です。
※認知症かどうかを確認する検査ではありません。

検査方法

対面で行う15分程度の記憶検査です。

  • 10個の単語を1個ずつ復唱して覚えます。その後単語をすぐに思い出します。
  • 同じ事を3回繰り返します。
  • 3つの動物から仲間外れを選びます
  • 最初に覚えた10個の単語をもう一度、思い出します。

検査可能日

月曜日~金曜日の脳ドック受診日
※脳ドックと同日の検査となります

検査料金

4,400円(税込)
※脳ドックを受診される30歳以上の方が申し込みできます。
※脳ドック料金とは別に費用がかかります。

肺ドックコース

メニュー 肺ドック
内科診察
身長/体重/血圧
血液検査(腫瘍マーカー)
喀痰細胞診検査
胸部CT検査
コース料金(税込) 22,000円
人間ドックに追加して
実施した時の料金(税込)
19,800円

こんな方におすすめします

  • 50歳以上の方
  • 呼吸器疾患の気になる方
  • 特殊な職場(発がん性物質を扱うなど)
  • 喫煙指数 ※600以上の方(特に男性)
    ※喫煙指数=(一日に吸うタバコの本数)×(タバコを吸った年数)

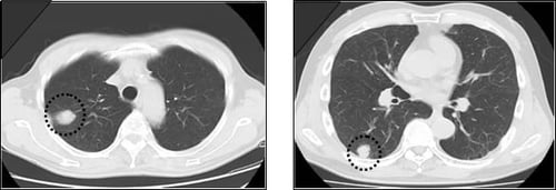
当センターの肺ドックで発見された肺がん


  • CT画像

肺がんの知識

肺がんの主な症状は、次のようなものがあります。
咳/痰/血痰/胸痛/発熱/息切れ/声のかすれ
ただし、早期には無症状のことが多いので発見が遅れがちです。

肺がんのリスク要因として

  • 肺がんのリスク要因としては喫煙が第一に挙げられます。喫煙は喫煙者本人への影響が圧倒的に大きく、非喫煙者に対する喫煙者の発がんリスクは男性で4.5~5.1倍、女性で2.3~4.2倍といわれています。
  • 肺がんにかかる人のうち喫煙が原因と考えられる割合は、男性では約70%、女性では約15%といわれています。また、喫煙年数が長いほど、喫煙本数が多いほど肺がんリスクは高く、禁煙すると喫煙継続者に比べて肺がんリスクは減少します。また、受動喫煙による肺がんリスクは1.2倍ほど増加するといわれています。
  • 喫煙以外のその他の要因としては、特殊な職場(発がん性物質を扱うなど)、大気汚染、食事(野菜・果物不足)、過去の呼吸器疾患などといわれています。

検診間隔の目安

1年に1回の受診をおすすめします。

オプション検査(人間ドックの基本コースに追加できます)

CT検査

検査項目 主な疾病 金額(税込) 備考
胸部CT検査 胸部疾患 ¥14,300  
腹部CT検査 腹部疾患 ¥14,300  
腹部CT検査+内臓脂肪測定 腹部疾患、メタボリックシンドローム ¥16,500  
頭部CT検査 頭部疾患 ¥14,300  
内臓脂肪測定のみ メタボリックシンドローム ¥3,300  
大腸CT検査 大腸疾患 ¥30,800  

CT検査とは

当院では64列マルチスライスCTという装置で行います。X線を受け取る検出器が身長方向に64個(40mm幅)並んでおり、高速撮影が可能です。一枚の画像の厚さが約0.625mmと非常に薄い断層像であるため細かな病変を詳細に描出できます。例えば胸部CTの場合、撮影時間はわずか2.5秒で、その間に取得できる画像の枚数は約500枚にも及びます。

CT検査の特徴

  • 撮影時間が短く、お年寄りや呼吸器障害を患って長時間の息止めが困難な方にも、楽に検査を受けていただくことができます。
  • 検査はCT装置のベッドに寝ていただくだけなので、ほとんど苦痛はありません。
  • 瞬時に撮影するため、正確な画像を得ることができます。

CT検査でこんなことが分かります

胸部CT 肺や気管、気管支などの病変を調べます。胸部X線検査では発見しづらかった心臓や骨に隠れた微小病変も発見できます。
腹部CT 肝臓、胆嚢、膵臓、腎臓、脾臓および、腹部大動脈血管の周囲の病変を調べます。
頭部CT 脳出血、脳梗塞および脳腫瘍などを調べます。
内臓脂肪CT 内臓脂肪の面積を調べます。

※大腸CT(仮想大腸内視鏡)

大腸CTは、内視鏡を使わない大腸検査です。大腸内視鏡と同様の前処置を行った後に、大腸を炭酸ガスによって拡張させ、新型のマルチスライスCT装置を用いて撮影することで大腸の3次元画像を簡単に得る検査です。
大腸CTは、仮想大腸内視鏡検査とも呼ばれ、内視鏡検査と比較して苦痛や違和感が少なく、短時間で検査可能で受診者の受容性が高いことから、これまで大腸の精密検査に抵抗感のあった方にもおすすめできる検査です。


  • 大腸CT画像

  • 3次元画像(仮想大腸内視鏡画像)

超音波検査

検査項目 主な疾病 金額(税込) 備考
腹部超音波検査 腹部腫瘍 ¥5,830  
甲状腺超音波検査 甲状腺腫瘍 ¥3,300  

超音波検査とは

超音波検査は、エコー検査とも呼ばれています。お腹の赤ちゃんを見るときと同じ検査です。体の中での音波の反射を利用して臓器の形態や血流などを観察する検査です。耳では聞くことができない高い周波数の音波(超音波)を使用しています。

超音波検査の特徴

・人体には無害です(妊娠中の方でも受けられます)。
・痛みはほとんどありません。
・瞬時に画像をえることができるので正確な判定が可能です。

超音波検査でこんなことが分かります

腹部超音波 脂肪肝、胆嚢ポリープ、胆嚢結石、腎結石、良性(悪性)腫瘍など
甲状腺超音波 甲状腺腫瘍、頸部のリンパ節

レディース検査

検査項目 主な疾病 金額(税込) 備考
マンモグラフィー検査 乳房腫瘍 ¥5,500 40歳以上推奨
乳腺超音波検査 乳房腫瘍 ¥5,500 40歳未満推奨
子宮頸がん検診 子宮頸がん ¥3,300 診察、子宮頸部細胞診
経腟超音波検査 ※ 子宮筋腫、卵巣嚢腫 ¥4,950 ※子宮頸がん検診
 実施者のみ追加可能
CA125+経腟超音波検査 ※ 子宮・卵巣腫瘍、子宮筋腫、卵巣嚢腫 ¥7,700

マンモグラフィー検査とは

当センターでは2004年よりデジタルマンモグラフィー装置が導入されています。フィルムを使用せず、撮影直後にモニター上に画像を映し出すことができ、短時間で高画質の画像を得ることが可能です。乳腺内の腫瘤や石灰化の有無を調べるため、乳房を押さえ、薄く伸ばした状態で撮影を行います。多少の痛みを伴う検査ですが、乳房を圧迫することによってより情報量が増え、被ばく量も低減できます。

2007年に日本乳がん検診精度管理中央機構が定める「マンモグラフィー検診施設画像認定」を取得しており、マンモグラフィー装置・画像・被ばく線量ともに基準を満たしていることが認められています。さらに精度の高い検査を行うために、「検診マンモグラフィー撮影診療放射線技師認定」取得者を中心とした女性技師が行っていますので、安心して受診していただけます。

注意事項

  • 妊娠中または妊娠の可能性がある方は検査できません。
  • 豊胸手術(シリコン注入・シリコンバッグ・生食バッグなどのインプラント挿入など)をしたことがある方は、検査できませんので、乳腺超音波での検査となります。

マンモグラフィーと超音波のどちらを受けた方がいいの?

マンモグラフィー検査では、乳がんの初期症状とされている微少な石灰化といわれるものが発見でき、超音波検査では、マンモグラフィーでは写りにくい小さなしこりの発見に優れた検査といわれています。また、超音波では腫瘤の内部までよく観察することができるため、良性・悪性の区別がつく場合もあります。
これらの特徴を生かして2つの検査を併用することによって、より精度の高い検査を行うことができます。

経腟超音波検査のおすすめ

通常の子宮頸がん検診は、細胞を取り調べる検査であり、子宮や卵巣の状態を画像でとらえていません。右記のようなお悩みがあり画像診断をご希望される方は、経腟超音波検査をおすすめします。
内診に続いて検査を行います。通常痛みはなく、1~2分程度で終わります。

その他オプション検査

検査項目 主な疾病 金額(税込) 備考
腫瘍マーカー 男性6種セット
AFP、CEA、CA19-9、Pro-GRP
CYFRA、PSA
全身腫瘍 ¥9,680 胃透視+腹部超音波
または 腹部CT
実施者のみ追加可能
腫瘍マーカー 女性5種セット
AFP、CEA、CA19-9、Pro-GRP
CYFRA
全身腫瘍 ¥8,360 胃透視+腹部超音波
または 腹部CT
実施者のみ追加可能
腫瘍マーカー 消化器4種セット
AFP、CEA、CA19-9、
ペプシノーゲン
肝・胆・膵臓腫瘍
胃腫瘍、大腸腫瘍
¥9,350 胃透視+腹部超音波
または 腹部CT
実施者のみ追加可能
PSA 前立腺腫瘍 ¥2,530
骨密度測定 骨粗鬆症 ¥2,200 前腕のX線測定
眼底カメラ 眼科疾患、動脈硬化症、糖尿病合併症 ¥550 眼底の写真撮影
眼圧検査 眼科疾患、緑内障 ¥770  
動脈硬化検査(ABI/PWV) 動脈硬化 ¥3,300 両手両足の血圧測定
頸動脈超音波検査 頸部の動脈硬化・狭窄病変 ¥5,500  
  • 健診センターのご案内
  • コース案内・料金表
  • 申し込み方法・交通アクセス
  • 受診の流れ
  • 健診後のフォロー
  • 保健指導
  • 海外渡航される方
  • Q&A

お問い合わせ・診療時間・アクセス

医療法人豊田会について 病院長あいさつ 病院概況 病院幹部 診療実績
病院の歴史 取り組み・目指す姿 広報・イベント情報 臨床研究 病院情報の公開
ご利用にあたって 外来受診 入院案内 お見舞い 健康診断・保健指導 救急・緊急の方
内科 消化器内科 呼吸器内科 腎臓内科 糖尿病・内分泌内科
脳神経内科 循環器内科 小児科 精神科 病理診断科
外科 消化器外科上部消化管肝胆膵下部消化管ヘルニア
呼吸器外科 乳腺外科 心臓血管外科 小児外科
整形外科 リウマチ科 脳神経外科 皮膚科 泌尿器科
産婦人科 耳鼻咽喉科 眼科 歯科・歯科口腔外科 リハビリテーション科
放射線診断科 放射線治療科 麻酔科(救急集中治療) 麻酔科(手術室、ペインクリニック)
手術室 高気圧酸素治療室 血液浄化室 内視鏡センター
脳卒中センター 循環器センター がん総合診療センター 緩和ケア病棟
救命救急センター 周産期母子医療センター
薬剤部 放射線技術科 臨床検査・病理技術科 リハビリテーション科
臨床工学科 栄養科    
看護部 臨床研修センター 安全環境管理室 健診センター
患者サポートセンター地域連携室総合相談室入退院支援室
地域連携のご案内 かかりつけ医を持ちましょう セカンドオピニオン外来
連携先医療機関の方へ ケアマネジャーの方へ 地域連携パス
治療や療養上の総合的な相談 療養中の不安や医療・福祉・介護の制度について
がんに関する相談 地域医療連携・在宅療養についての相談
医療費についての質問や支払い相談