本文にスキップする

放射線治療センター

患者の皆さまへ

放射線治療は、手術や抗がん剤と並んでがん治療に欠かすことのできない存在です。

がんの部分に十分な放射線を照射して効果を高めるとともに、周囲の正常組織にはなるべく放射線を当てないようにして副作用を減らすことが重要です。そのため、無駄なく放射線を集中させる「高度な技術」が大切です。
当院ではさまざまな技術を取り入れて、副作用をより減らし、患者さん一人一人に合わせた効果的な治療を行っています。
一般的には放射線治療の特徴として、以下の3つが挙げられます。

①機能温存

臓器の機能を落とさずに病気を治すことを目標とします。

②形態温存

皮膚の状態や臓器の形・大きさをなるべく保って病気を治すことを心がけます。

③低侵襲

放射線治療を分割(小分けに)して副作用を減らすことで、日常生活を維持しながら治療を行います。通院での治療をされている方が数多くいらっしゃいます。

治療装置

当院では2台の装置を保有しています。疾患ごとに適したエネルギーや照射方法を検討し、安全で正確な放射線治療を実施しています。

Trilogy(2棟地下1階)

従来からある三次元原体照射からIMRT(強度変調放射線治療)までさまざまな照射が可能です。電子線を使用した体表面(ケロイド、皮膚がんなど)の照射も行っています。また、呼吸によって大きく動く腫瘍に対して、呼吸同期システムを用いた呼吸同期照射も行っています。

Tomotherapy(診療棟1階)

IMRTに特化した装置です。腫瘍に放射線を集中させ、周辺臓器への影響を最小限に抑えることが得意であるため、腫瘍のすぐそばにリスク臓器(治療による副作用の影響を受けやすく、機能低下や障害を引き起こす可能性がある臓器)がある場合などに有用です。また、CTと同じように寝台が動くため長い範囲(食道、全脊髄など)の治療が可能です。

高精度放射線治療

高精度放射線治療とは、腫瘍に集中した照射を行うことで治療成績の向上や副作用低減を目的とした治療技術です。当院で行っている治療技術を紹介します。

IMRT(強度変調放射線治療)

ターゲット(腫瘍)の形状が不整形で複雑な場合やリスク臓器が隣接している場合、従来の放射線照射法では腫瘍周囲の正常組織や臓器にも腫瘍と同じ線量が照射されてしまい、腫瘍制御率(腫瘍の広がりや大きくなることを抑えられた割合)を高率に維持しながら合併症を低く抑えることが困難でした。IMRTは、腫瘍に放射線を集中して照射できる革新的な照射技術です。これにより合併症を低く抑えながら根治性を高めるといった従来では実現不可能であった放射線治療が可能になりました。

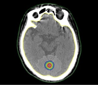
SRT(定位放射線治療)

ターゲットに対して放射線をピンポイントで照射することにより、線量を集中させて治療を行う方法です。一度に高線量の放射線をがんの部分に照射することができるため、治療は数回で終了します。これにより、正常組織への影響を低減しながら、がんの部分をしっかり治療することが可能になりました。放射線をピンポイントで照射するために、治療部位の位置合わせをより精密に行う必要があります。治療中は体全体を極力動かないように固定するなどの対策を講じることで、より正確な照射が可能となります。

IGRT(画像誘導放射線治療)

毎日の治療では、治療計画時の体位(腕の上げ方や体の向き)を再現するために、体表面に書かれた印を使用して体位を調整しています。しかし、治療するがんの部分は体の外部から正確な位置を確認することが困難です。そのため、照射の直前や照射中に得られるX線画像・CT画像を参考に寝台の位置をmm単位で動かして正確な位置合わせを行います。この技術を画像誘導放射線治療(Image-guided radiotherapy:IGRT)と言います。治療計画時には、目的の腫瘍から放射線が外れないように、腫瘍の大きさよりも少し大きめ(余白・マージン)に放射線を当てるように設定します。正確な位置合わせをすることで、このマージンをより小さくし、周囲の正常組織に対する影響を減らすことができます。

緩和的放射線治療(緩和照射)

放射線治療は「がんを治すための照射(根治照射)」と「がんによる症状を和らげる照射(緩和照射)」の2つに大別されます。緩和照射は、がんを治すことが目的ではなく、がんの進行を抑え、症状を和らげることが目的です。根治照射に比べて緩和照射では放射線量が少ないため、 短期間で治療が終了し、強い副作用はほとんどありません。なお、毎日の治療が困難な患者さんには日帰り照射(1回のみの照射)もご案内しています。緩和照射の適応疾患については、以下の放射線治療科ページのリンクでご確認ください。

診療内容

放射線治療科ページで詳細に説明しています。

よくある質問

  • 放射線治療の効果はいつ頃分かりますか?

    放射線治療の効果を評価する時期や方法は、治療の目的や病状によりさまざまですが、放射線治療の効果が出てくるまでにはある程度の時間がかかります。通常は放射線治療の終了後1~2か月ほど経過してから効果判定を行いますが、いつ頃・どのような検査を行うかは、担当医や主治医とよく相談してください。

  • 副作用が出た場合、いつ頃治りますか?

    副作用には放射線治療中または終了直後に起きるもの(急性期)と、終了して半年から数年たった後に起こるもの(晩期)があります。急性期の副作用は、治療終了後、数日から数週間、長くても数ヶ月程度で収まることがほとんどですが、晩期に起こる副作用は難治性の場合が多いです。しかしながら、近年の高精度治療により、発生頻度は従来に比べるとかなり低くなっています。

  • 放射線治療はどんな副作用がありますか?

    基本的に照射している部位に副作用としての症状が現れることがあります。

    • 頭への照射
      • 頭皮の脱毛、頭痛、嘔気、集中力や記憶力の低下など
    • 頸部への照射(喉や食道)
      • 口内炎、嚥下痛、味覚障害、唾液の減少など
    • 胸部への照射(乳房や肺)
      • 皮膚の赤み・ヒリヒリ感・硬化、咳や息切れ(放射線肺臓炎)など
    • 腹部への照射(胃・肝・膵等)
      • 食欲低下、吐気・嘔吐、下痢など
    • 骨盤への照射(前立腺・子宮・膀胱等)
      • 下痢、排尿時痛・頻尿、性機能の低下など
  • 付き添いの人が放射線を浴びることはありますか?

    外部照射の場合、放射線治療を受けている患者さんのそばにいても、周囲の方に対しては全く影響がありません。また、患者さんから放射線が出るようなことはありませんのでご安心ください。(放射線治療センターでは外部照射のみ行っております。)

  • 一度放射線治療を受けると同じ部位には、再度、放射線治療を受けられませんか?

    部位が異なる場合は必要に応じて放射線治療を受けることができます。しかしながら同一部位には原則として一度しかできません。これは正常組織への過度な悪影響を防ぐためです。ただ線量や照射野により例外もありますので、詳しくは担当医にご相談ください。

治療の流れ

こちらの動画で診察から治療までの流れを紹介しています。
また、実際の治療状況を理解し協力して治療を受けていただくために、治療計画CT撮影前に同じ放射線治療の動画をご覧いただいております。

品質管理

近年、放射線治療は装置や技術の向上により大幅に進歩しています。それに伴い装置や技術は複雑化しており、精度管理項目も多岐にわたります。当院では、医学物理士/放射線治療品質管理士が中心となり、それぞれの点検項目について必要な頻度(毎日・週1回・年1回など)を定めて、計画的に品質管理を行っています。
当院でよく行われるIMRTでは、装置の動きが複雑なため治療計画を計画通りに照射できるか、患者さんの治療が始まる前に必ず確認をしています。

最後に一言

私たちは毎朝スタッフ全員でミーティングを行い、患者さんの治療が正確・安全に完遂できるよう情報共有に努めています。皆様が安心して治療に向き合えるようスタッフ一同全力を挙げて協力いたしますので、何か疑問・不安な点があればいつでもお尋ねください。

スタッフ構成・資格

放射線治療医 2名 診療放射線技師 7名 看護師 3名
-うち)放射線治療専門医     2名 -うち)医学物理士 1名
--放射線治療専門放射線技師     4名
--放射線治療品質管理士 2名