本文にスキップする

放射線治療科

診療責任者

  • 北瀬 正則

    放射線科統括部長
    兼 放射線診断科部長

  • 内山 薫

    放射線治療科管理部長
    兼 がん総合診療センター
      副センター長
    兼 放射線治療センター長

患者の皆さまへの一言

放射線治療は手術療法、化学療法と並ぶがん治療の三本柱の一つとして、重要な役割を担っています。高精度な治療が可能な放射線治療装置を2台配備し、治療を行っております。身体的負担が少ない放射線治療は、合併症で手術が困難な方や、高齢の方にも適している治療です。
2025年度より放射線治療のスタッフを集結し、「放射線治療センター」となりました。これまで以上の放射線治療を提供できる体制整備を行っていきます。

診療内容

悪性腫瘍に対する治療を主に行っています。乳がん、前立腺がん、肺がん、頭頚部がんなど、多くのがんが対象です。病気を治す根治的な治療から、痛みなどの症状を和らげる緩和照射まで、各診療科と連携して幅広く行っております。当科初診時に治療についての説明を行いますが、十分にご理解いただけるように丁寧にわかりやすく治療内容や副作用などを説明するように心がけております。

放射線治療

医療技術の進歩は目覚ましく、放射線治療分野においても非常に高精度な照射が可能となりました。強度変調放射線治療(IMRT)は、近年急速に普及が進んでいる高精度な放射線照射技術で、複雑な形状の病変であっても、その形状に合わせて自在に照射することが可能です。それにより、従来と比較して副作用を減らしつつ、病変部に十分な線量の照射が可能となりました。
当院では、IMRT専用機導入から7年ほどが経過し、前立腺がん、頭頚部がん、肺がん、食道がんなど多数の症例に対する豊富な治療経験を有しています。
早期肺がんや椎体転移、少数転移、転移性脳腫瘍に対しては、病変局所に線量を集中させることで高い治療効果が期待できる定位放射線治療(SRT)を実施しています。小病変に対して、1回あたりの線量を高めることで、治療期間の大幅な短縮や副作用の低減、手術に比肩する高い局所制御が得られます。
実際の放射線治療の適応については放射線治療医が診察を行い、判断いたします。

スタッフ

放射線治療医

2名(放射線治療専門医1名)

医学物理士

1名

放射線治療専門技師

4名

放射線治療担当看護師

3名

放射線治療機器

  • 放射線治療機(IMRT専用)
  • 放射線治療機(リニアック)

適応疾患

・前立腺がん

PSA検診の普及などにより早期で発見されるケースが増えています。前立腺周囲には膀胱や直腸があり、放射線による膀胱炎(頻尿や尿勢低下、排尿時痛、血尿)や直腸炎(直腸出血)などが問題となります。IMRTの導入により、膀胱や直腸への放射線量を抑えながら前立腺に十分な放射線量を確保することができ、副作用を低減しつつ従来以上の治療効果が期待できるようになりました。治療回数は20回(術後の場合は34回)を標準としており、ホルモン療法を併用します(低リスクの場合は放射線治療のみとなります)。副作用は頻尿、排尿時痛、尿勢低下、治療後時間が経過してからの血便、血尿などがあります。(図:前立腺がんに対するIMRT)

・頭頸部がん

咽頭がんや喉頭がんなど主に頸部に発生するがんです。手術が困難なことや、術後の後遺症が大きいことなどから放射線治療の適応となることが多い疾患です。頭頸部には視神経・視交叉、脳幹、脊髄、耳下腺、下顎骨などの重要な臓器が密集しており、従来の治療では重篤な副作用が出現したり治療効果が落ちたりといったことが生じやすい領域でした。IMRTにより、重要臓器を極力さけながら病変部に十分な放射線量を投与することが可能となりました。副作用は頸部の広範囲の皮膚炎や粘膜炎による疼痛、唾液腺障害による唾液分泌低下、味覚障害、顎骨壊死など多岐にわたります。(図:頭頸部がんに対するIMRT)

・乳がん

主に手術のあとの術後照射の適応となります。患側の全乳房に対して再発リスクを低減するために放射線治療を行います。腋窩リンパ節転移の有無により同側頚部へも照射することがあります。乳房温存術後の方は17回の短期照射を行っています。乳房切除・腋窩リンパ節郭清後の方は25回の治療となります。切除断端が陽性の場合は5回程度の追加照射を行います。副作用は皮膚炎(発赤、着色、日焼け様症状)、倦怠感、創部皮膚硬結、放射線肺炎(稀:咳、発熱、呼吸苦など)、リンパ浮腫などが起こりえます。(図:乳がんに対する放射線治療)

左乳がんの術後照射には、深吸気息止め照射(DIBH)を行っており、心臓への放射線の影響を低減することが可能です。(上図:DIBHなし 下図:DIBHあり)

・肺がん

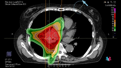
手術不能の場合や縦隔リンパ節に転移がある場合などに根治的放射線治療の適応となります。基本的に化学療法と同時併用で行いますが、年齢や全身状態などを考慮して放射線治療単独となる場合もあります。当院ではIMRTを積極的に行っており、副作用の低減と治療効果の向上を図っています。治療は抗がん剤と併用の場合、標準的に30回、放射線治療単独の場合は33~35回程度行います。副作用は皮膚炎、放射線食道炎(嚥下時違和感、痛み)、放射線肺炎(咳、発熱、呼吸苦など)が主体です。(図:肺がんに対するIMRT)

早期肺がんについては、多方向から集中的に放射線を当てる定位放射線治療を行っております。週2回、2週間程度の治療となります(部位により期間が長くなる場合があります)。手術に匹敵する効果が期待される治療です。副作用は治療期間中にはほとんどありませんが、治療後時間がたってから放射線肺炎や肋骨骨折が起こることがあります。(図:肺がんに対する定位放射線治療)

いずれの治療においても、呼吸により病変の移動が大きい場合には、呼吸同期照射を併用し、副作用の低減をはかっています。

・食道がん

内視鏡切除後の追加治療や進行例での根治的治療に放射線治療が用いられます。抗がん剤と同時併用で30回前後の放射線治療を行います。IMRTを用いることで、心臓への線量低減も図ることができるため、副作用の低減に寄与できると考えています。副作用は主に放射線食道炎(嚥下時違和感、痛み)、皮膚炎、放射線肺炎、放射線心膜炎などがあげられます。(図:食道がんに対する放射線治療)

・原発性脳腫瘍

脳腫瘍は大きく分けて原発性脳腫瘍と転移性脳腫瘍があります。原発性脳腫瘍は脳の神経細胞より発生するもので、転移性脳腫瘍は他の部位にできたがんが脳に転移したものです。

原発性脳腫瘍は主に手術後の術後照射の適応となります。腫瘍の部位だけでなくその周囲も再発リスクが高いため、広範囲の照射となるケースが多くなります。頭頚部同様に近くに眼球や水晶体、視神経、脳幹といった重要臓器があるため、IMRTがよい適応となります。治療は30回程度が標準です。副作用は局所の脱毛、頭痛、気分不快、白質脳症、放射線脳壊死などがあります。(図:原発性脳腫瘍に対するIMRT)

・転移性脳腫瘍

転移性脳腫瘍は腫瘍サイズが大きく症状が強い場合などを除いては手術となることは少なく、放射線治療を行うことが多いです。転移の数が少ない場合には、病変部位に照射範囲を絞って高線量を当てて治療を行う脳定位放射線治療が有効です。脳定位放射線治療は3~5回の治療となります。副作用はてんかん、放射線脳壊死などがあります。(図:脳定位放射線治療)

転移の数が多い場合や、サイズが大きい場合には脳全体へ治療を行う全脳照射が基本となります。全脳照射は10回程度の治療となります。副作用は脱毛、頭痛、嘔気、食欲不振、白質脳症による認知機能・記銘力低下、放射線脳壊死などがあります。

・緩和的放射線治療

骨転移による痛みや腫瘍からの出血など、悪性腫瘍に起因する諸症状の改善を目的とします。骨転移に対する疼痛緩和照射は有効性が高く、副作用も少ないため、症状のある方にはおすすめされる治療です。腫瘍からの出血なども、効果がみられるまでに時間はかかりますが有効性は高いと考えています。転移が原因で神経症状が出現し始めている場合などは、診察日当日に治療を開始する緊急照射も行っています。(図:胸椎転移に対する放射線治療)
神経症状が出現し始めている場合や通院が困難な場合には、受診当日に照射を完了する日帰り照射も行っております。

・オリゴ転移(少数個の転移)に対する定位放射線治療

2020年度より、直径5㎝以下の転移性脊椎腫瘍や5個以内の少数個の転移巣に対する定位放射線治療(SRT)が保険適用となりました。当院でも単発の転移に対して定位放射線治療を行っております。従来よりも短い期間(5回程度)で高い抗腫瘍効果が期待できます。(図:腰椎転移に対する定位放射線治療)

当院で行えない放射線治療

子宮がんに対する腔内照射や前立腺がんに対する小線源治療、粒子線治療等は当院では行えないため、実施施設へ紹介となります。

治療開始までの流れ

当院での放射線治療に関する動画をYouTubeで公開しています。ぜひご覧ください。

診療方針

医療技術は日進月歩であり、特に放射線治療分野では医療技術の進歩が治療の質向上に重要な役割を果たしています。実際、IMRTなどの新技術は従来からすると夢のような治療といっていいものだと思います。しかしながら、高度な医療機器を用いれば、それだけでいい治療ができるというわけではなく、より満足いただける治療を行うには、治療スタッフの対応も重要だと考えています。当院で治療を受けてよかったと思っていただけるように努力していきたいと考えています。

診療実績

疾患別の治療・手術・検査実績(件)

    2022年度 2023年度 2024年度
原発部位 脳・脊髄 5 1 3
頭頸部(甲状腺含む) 22 19 22
食道 17 12 11
肺・気管・縦隔 82 68 76
  うち肺 74 62 73
乳腺 92 57 66
肝・胆・膵 8 4 7
胃・小腸・結腸・直腸 12 14 13
婦人科 16 11 6
泌尿器系 95 115 107
  うち前立腺 77 91 91
造血器リンパ系 0 5 3
皮膚・骨・軟部 3 3 1
その他(悪性) 0 2 0
良性 0 1 3
特殊な放射線治療 定位(脳) 31 20 32
定位(体幹部) 20 15 13
IMRT 174 168 165
新規患者数 352 312 318
実患者数(新患+再患)     431 374 392

その他

上記の疾患別の治療・手術・検査実績は、原発巣別新規患者数(日本放射線腫瘍学会構造調査に基づく集計方法による)

学会施設認定

日本放射線腫瘍学会認定施設B

医師紹介

 
氏名
役職
出身大学
医師免許取得年
主な専門領域
指導医・専門医・認定医など

北瀬 正則

放射線科統括部長
放射線診断科部長

名古屋市立大学

1994年

画像診断、IVR

・日本医学放射線学会
 放射線診断専門医
・日本IVR学会
 IVR専門医
・日本核医学会
 核医学専門医
・日本脈管学会
 脈管専門医
・日本血管外科学会
 認定血管内治療医
・日本ステントグラフト実施基準管理委員会
 胸部・腹部ステントグラフト指導医
・検診関連6学会認定
 検診マンモグラフィ読影認定医
・臨床研修指導医

内山  薫

放射線治療科管理部長
がん総合診療センター副センター長
放射線治療センター長

名古屋市立大学

2008年

放射線治療

・日本医学放射線学会
 放射線治療専門医
・日本放射線腫瘍学会
 放射線治療専門医
・臨床研修指導医

大住健史郎

放射線治療科医員

名古屋市立大学

2018年

放射線治療

・日本医学放射線学会
 放射線治療専門医
・日本放射線腫瘍学会
 放射線治療専門医
SWIPE